Fashion
More News
-
Researchers find accurate way to predict miscarriage
Until now, doctors had no way to predict which threatened miscarriages would result in the end of the pregnancy.
-
Maintaining clear skin in any weather
The coast pushes humidity to extreme levels and literally transforms Karachi into a sauna.
-
How happy is your heart?
Lifestyle may influence sudden cardiac death risks!
-
Longevity: Do you want to live forever?
The field of gerontology is gaining popularity as more and more people are considering the option to live longer
-
Post-Galliano, Dior embraces eclecticism
Dior chief executive Sidney Toledano said they are in no hurry to pick a new creative director.
-
Come sizzling summer
A guide to summer trends and colours.
-
Couch potatoes double risk of lung blood clots: Study
The new research suggests that a sedentary lifestyle can be added to the list.
-
People with nearsightedness could be at risk
Around seven per cent of the population in Pakistan is affected by some type of glaucoma.
-
Jungle fever and corporate swagger at ModeVille
Ammar Belal showcases clothes from two collections.
-
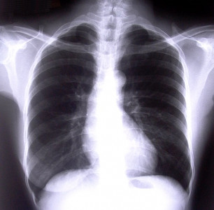
CT scans cut lung cancer deaths by 20%: Study
Lung X-ray shows current or former heavy smokers screened with low-dose CT scans experience 20% lung cancer reduction.
-
Easing a runny tummy
“Mindfulness” may mitigate irritable bowel symptoms.
-
Exhibition: Fabric jewellery, gem designs dominate show
Other stalls include summer clothes, shoes and decoration pieces.
-
Cell phones: A health threat?
A recent World Health Organisation review suggests possible cancer risk.
-
Study finds text messages help smokers quit
Smokers are twice as likely to quit when they get text messages urging them to stick to their goal.
-
Umar Sayeed’s collection: And then there was light...
Umar Sayeed’s collection is displayed at The House of Ensemble.
-
Gymboree: Getting down on your limbs to play with your child
Gymboree instructor talks about the importance of parent-child relationship.
-
Pregnant smokers: You quit, two quit!
Despite known dangers, many pregnant women continue to smoke.
-
Homeopathic remedies: Know your herbs
Homeopathic trends are on the rise in Isalamabad.
-
Junk food ads do boost kids' appetites: Study
Television ads for junk food really do make children hunger for those treats.
-
Adorn yourself with clay
Jewellery made of clay is the newest thing in town.
-
Career Guide: Working at a local bank
This is what a regular day is like for Asad who is the Regional Collections Manager of Consumer loans at a local bank.
-
Pashmina Ahmed: The versatile couturier
Pashmina Ahmed talks about the minuscule market for western wear in Pakistan.
-
All’s fair in love
What do you do when you find your soul mate and he's already married...or you are.
-
Rainwear: Will it make a splash or simply drown?
Designers explain why this line of clothing may not work in Pakistan.
-
Mr know it all
A colleague at work has been getting very chummy with me. What should I do?
-
Hair-straightening? It’s time to think straight!
It’s time now ladies, to realise what is important and concentrate on your health.
-
Understated opulence takes on ModeVille
Lahore-based designer Fahad Hussayn exhibits bridal and pret wear at multi-label store.
-
The cost of crash diets
Experts warn that extreme dieting is equivalent to abusing your body.
-
A water colour display of emotion and nature
The artist has successfully captured dramatic moods of moonlight, white swans and lotus pools.
-
Fashionably boring: Lacking aesthetic sense or brand concept
Aisha Khurram fails to make an impression during her launch at Melange.
-
Volunteering: Live your dream!
One of the most exceptional things about volunteering is that it allows people to live out their fantasies.
-
Pakistan’s fashion industry: Caught in a bubble
The current state of Pakistan’s fashion scene.
-
A mathematical formula for the perfect wife?
Study says wife should be 5 years younger, smarter and from same cultural background as groom.
-
Immersion in virtual reality eases pain: Study
US study points out that distracting patients using video games can help in reducing their pain.
-
Jewelicious: Gems galore at L’atelier
Jewelicious exhibits premium accessories at Islamabad’s fashion house.
-
The basics of a healthy diet
Olive oil, pulses, fish, fruits, vegetables... why are they so important in our diet?.
-
Uth Oye! Localising fashion
Uth Oye! launches its flagship store in Lahore.
-
Looks to beat the heat
Shammal Qureshi, Brand Ambassador for TONI&GUY gives you trends for this summer!
-
Mr know it all
Frankly, he sure as hell isn’t doing much to prove his devotion to you or your twisted relationship.
-
Melange: The one-stop shop
Fashion and fine dining at Islamabad’s first multi-brand store.
-
Exhibition at Café 9: New designers on the block
Nazish Hussain and Sabeen Ali showcase their collection at Café 9.
-
Style guide: Summer man 2011
Time to end the tyranny of the ‘Gucci-Prada’ brigade.
-
Fashion Show at Metro
Metro Cash & Carry celebrates five years in Pakistan with a series of fashion shows.
-
Karachi welcomes Lifestyle
A one-stop shop for any fashion-forward woman.
-
Sanuba’s Salon and Spa: Thinking outside the box
Sanuba Spa and Salon launches ‘New You’ campaign.
-
7 things that an engineering graduate must know!
Before landing any kind of job, you must know the progressive role of the job and its hierarchy.
-
A ‘summery’ treat
Mausummery finally has its ready-to-wear collection.
-
From Thailand, with love
Traditional pieces of furniture from Thailand in stock.
-
Ingenuity at its best
BNU’s 2011 thesis exhibit displayed meticulous skill and creativity.
-
Cutting down the heat
Hassle-free haircuts are in vogue this summer.

















































