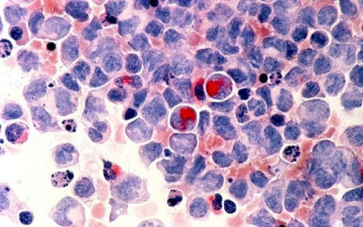
acute myeloid leukemia
More News
- 
                                                            Scientists decipher 11 subtypes in acute leukaemia gene studyThe findings could improve clinical trials for testing and developing new AML drugs 
The findings could improve clinical trials for testing and developing new AML drugs